Uw ogen en mond trekken als eerste de aandacht als u met iemand praat. Onbewust halen we hier informatie uit. Uw gebit is uw visitekaartje. Belangrijk dus dat uw tanden er goed uitzien. Wilt u een gezond, mooi en natuurlijk uitziend gebit? In onze praktijk voeren we al een jaren esthetische behandelingen uit en hebben al veel bezoekers hiermee gelukkig gemaakt. Heel veel mensen weten niet van het bestaan hiervan, lopen al jaren met een onbevredigend gevoel over hun voortanden rond en storen zich hieraan b.v. als ze zichzelf op foto's zien. Vaak kan met hele kleine handeling een spectaculair resultaat verkregen worden. Hierdoor durven mensen weer echt te lachen, hoeven ze zich op dit gebied niet meer in te houden en heeft dit meteen effect op uw uitstraling en communicatie. We zien een toename in de vraag naar dit soort behandelingen, ook op verwijzing (in geval dat de eigen tandarts heeft gezegd dat hij het niet kan of het niet wil doen). Het meeste maken we hierbij gebruik van esthetische composiet waarbij in verschillende laagjes de natuurlijke tand met al zijn eigenschappen wordt nagebootst. Naast de tandvorm, kunnen we ook meteen de tandstand en tandkleur beter en mooier maken. Het voordeel van deze methode is dat dit qua kosten en behandeltijd erg interessant is en u ook meestal binnen maximaal anderhalf uur alweer buiten staat. Veel mensen vinden dit prettig en het is b.v. een goed alternatief in het geval dat u zeker weet niet een half jaar (of veel langer) met een beugel te willen rondlopen. In overleg - vooral als ook de overall tandkleur een issue is, of gewoon een wens voor lichter tanden - wordt vooraf aan de behandeling eerst gebleekt (thuisbleken), wat het eindresultaat nog mooier maakt.
Hieronder ziet u verschillende voorbeelden van wat er met esthetische composiet mogelijk is, de linkerfoto van de set van twee is de uitgangssituatie, de rechter na de behandeling:
In plaats van composiet kunt u ook kiezen voor keramische restauraties. Dit zijn hele dunne veldspaat porseleinen schildjes die over de tand of kies wordt geplaatst. Hier hangt een ander prijskaartje aan omdat er per tandelement eigenlijk een gedeeltelijke kroon of facing geplaatst wordt en hier een hele belangrijke taak voor de tandtechnieker is weggelegd. Hieronder ziet u een voorbeeld waarbij alle elementen in de onderkaak voorzien gaan worden met minimaal invasieve kronen.
.jpg)
Beetverhogingen
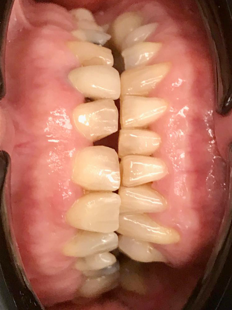
Door klemmen en knarsen zien we veel mensen voorbij komen waarbij er door het vele knarsen in de loop der jaren veel tandweefsel verloren is gegaan. Met name gebeurt dit (onbewust) 's nachts. De tanden en kiezen van de onderkaak bewegen zich met grote kracht en veelvuldig over de tanden en kiezen van de bovenkaak, vaak in een malende beweging. Normaal vangen de (puntjes op de) hoektanden deze klappen op, maar op een gegeven moment slijten deze eraf en gaat de slijtage verder met de snijtanden en zelfs kiezen. Als in de loop der jaren dan ook nog een aantal vullingen zijn gelegd bij b.v. de grote kiezen (en onbedoeld in een wat lagere stand afgewerkt), zie je dat de beet (zoals we dat noemen) verdiept is geraakt. Je kan dit b.v. zien aan de vele afgechipte stukjes glazuur en tandvorm en als bij helemaal dichtbijten de ondersnijtanden helemaal achter de bovensnijtanden verdwijnen zodat je alleen nog tandvlees onder ziet. Ook zie je een naar beneden gekrulde mondhoek ontstaan, en kunnen er spier- en kaakgewrichtsklachten optreden. In extreme mate kan meer dan de helft van de tandlengte worden 'opgeknarst'. Hierdoor kan de zenuw bloot komen te liggen. In onze praktijk voeren we zeer regelmatig complete beetverhogingen uit. Hierbij herstellen wij weer de oorspronkelijke hoogte, brengen wij de hoektandgeleiding weer aan en komt er ook weer ruimte om b.v. de snijtanden weer de oude lengte te geven.

